
Adolescente "curioso" se introdujo un cable USB que acabó enredado en su vejiga
Después de escuchar varias bromas sexuales que hacían sus compañeros de escuela, un adolescente de 13 años, cortó la cabeza de un cable USB , y lo puso en sus genitales.
Después de escuchar varias bromas sexuales que hacían sus compañeros de escuela, un adolescente de 13 años en China cortó la cabeza de un cable USB , de 10 centímetros de largo y lo puso en sus genitales.
Se insertó un cable USB
La adolescencia es una etapa donde se descubre el cuerpo y la curiosidad se a poder a de nuestras mentes.
Sin embargo, Duoduo, un chico de 13 años llevó la curiosidad al siguiente nivel, ya que cortó la cabeza de un cable USB de 10 centímetros de largo para ponerlo en sus genitales.
Desgraciadamente las cosas no salieron tan bien como pensaba.
Duoduo después de poner el cable no pudo sacarlo y comenzó a sentir dolores insoportables.
Termina en el hospital
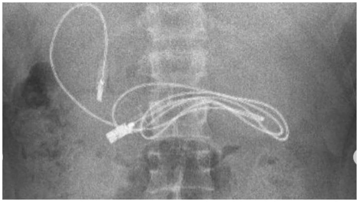
El chico de Linkou, China fue internado a un hospital el 4 de junio debido a los fuertes dolores que estaba experimentado en el pene y de encontrar sangre en su orina, acorde a Heilongjiang Metrópolis Channel.
Los doctores informaron que el cable se enredó y llegó hasta su vejiga.
Xu Liyan, doctora del Departamento de Urología, explicó que el cable en el pene del chico se había retorcido y enredado complicando las cosas.
Los expertos le aplicaron lubricante para extraer el cable.
Sin embargo, el nudo era tan grande que no pasaba por la uretra y esto podría generarle lesiones al chico.
Después, decidieron hacer una incisión en el punto donde el cable estaba anudado, antes de quitarlo.
Afortunadamente, el chico se recuperó satisfactoriamente y fue dado de alta del hospital.
Duoduo le explicó al doctor que insertó el cable "por curiosidad".
También te puede interesar: Madre le disparó en la cabeza al ladrón que se llevó su auto con sus hijos adentro
Esto, surgió después de escuchar chistes sexuales en la escuela.
¿Qué te pareció?



