
Joven va al médico por dolor en el estómago; tenía un cable de carga dentro
Un joven acude al hospital porque le dolía su estomago y los médicos descubrieron que tenía un cable de carga dentro.
Lo que parecía ser una visita de rutina al hospital fue todo lo contrario para un joven, que acudió porque le dolía su estomago y los médicos descubrieron que tenía un cable de carga dentro.
Por increíble que parezca, esto le sucedió a un adolescente de 15 años de Diyarbakir, ciudad que se ubica en el sureste de Turquía.
De acuerdo con el medio británico The Mirror, este joven fue llevado al hospital por su familia que se preocupó por el dolor estomacal y náuseas que presentaba.
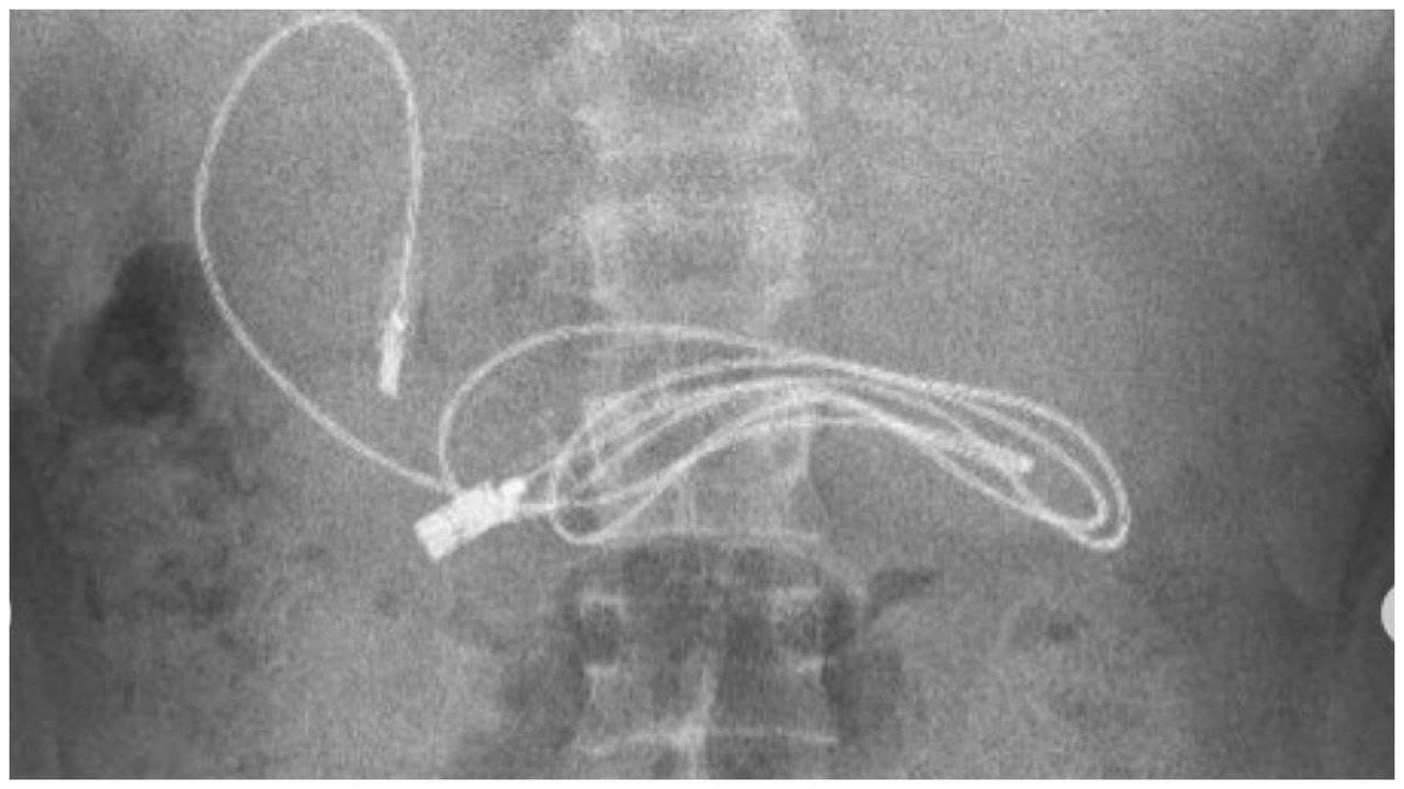
Tras revisar al joven que llegó por un dolor y hacerle una radiografía, los doctores encontraron un cable de carga en su estómago.
Por tal motivo, personal hospitalario puso manos a la obra para trasladarlo al Hospital Universitario Firat en la ciudad turca de Elazig, que se encuentra a 3 horas en automóvil.
Talvez te gustaría leer: Médicos hallan más de 200 monedas en el estómago de un hombre
Al llegar a la nueva clínica fue tratado por Yasar Dogan, jefe del departamento de gastroenterología, hepatología y nutrición pediátrica, y su equipo quienes le realizaron una endoscopia.
Procedimiento que les ayudó para extraerle al joven una cinta para el cabello y un cable de carga que alcanzó el metro de longitud cuando se estiró.
De acuerdo con el Dr. Dogan, y el equipo de doctores que trataron el caso del joven que tenía un cable de carga en su estómago, la extracción fue algo complicada.
En declaración para medios locales, el médico explicó que el procedimiento no resultó sencillo, ya que el cable había pasado al intestino delgado.
Para buena fortuna del joven, tras ser intervenido se le envió a casa en un buen estado de salud.
The Mirror señala que no están muy claras las circunstancias bajo las cuales el joven ingirió la cinta para el cabello y el cable de carga de un metro de largo.
De cualquier manera, en Turquía se han registrado dos casos de niños que han acudido al hospital por situaciones similares.
Con información de: SDPNoticias
¿Qué te pareció?


