
Hombre se masturba tan agresivamente que estuvo en riesgo de morir
Internet y sus largos caminos hoy nos trae una increíble historia, se trata de un hombre en Suiza que se dió placer de manera tan agresiva
Internet y sus largos caminos hoy nos trae una increíble historia, se trata de un hombre en Suiza que se dió placer de manera tan agresiva que estuvo cerca de morir.
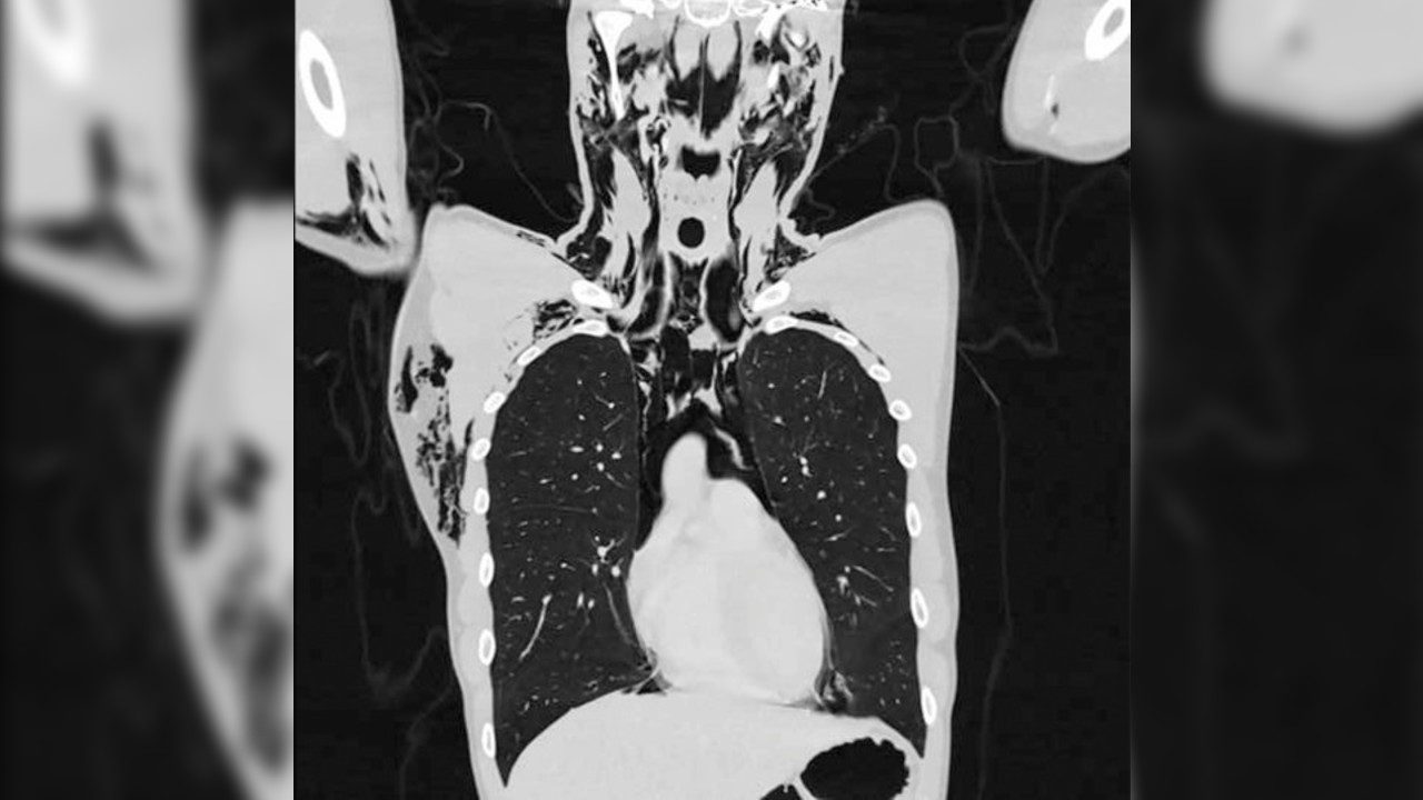
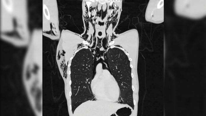
El sujeto acudió al hospital donde los médicos realizaron radiografías. Los resultados arrojaron que el joven sufría un padecimiento descrito como la presencia de aire que escapa de los pulmones y queda atrapado en la caja torácica.
Según los análisis clínicos, el joven quedó con sonidos similares a “crujidos” desde el cuello hasta los codos.
Y eshombre en Suiza se masturbó tan agresivamente que estuvo cerca de morir al sufrir un fuerte dolor en el pecho. que el ‘neumomediastino’ espontáneo se define como aire libre dentro del mediastino. Se asocia con ejercicio, drogas, asma, vómitos, entre otras cosas. Es más frecuente en hombres jóvenes.
“Un hombre joven de 20 años (175 cm, 60 kg) fue asignado a nuestro servicio de urgencias con disnea intensa y dolor torácico. Informó un inicio repentino de dolor agudo en el pecho seguido de dificultad para respirar mientras estaba acostado en la cama masturbándose”, fue el reporte.
(Con información de Plumas Atómicas)
También lee: Cosas del amor: Mujer lleva al esposo a su boda con collar y correa
¡Ya estamos en Google News! Mantente al día con las noticias más importantes de México y el Mundo, haz clic aquí
¿Qué te pareció?
Etiquetas


