
Sorprende nacimiento de bebé con ‘cola’ en Nuevo León
El nacimiento de un bebé siempre es motivo de alegría, pues se trata de una nueva vida que llega al mundo para llenar de bendiciones a una nueva familia.
El nacimiento de un bebé siempre es motivo de alegría, pues se trata de una nueva vida que llega al mundo para llenar de bendiciones a una nueva familia.
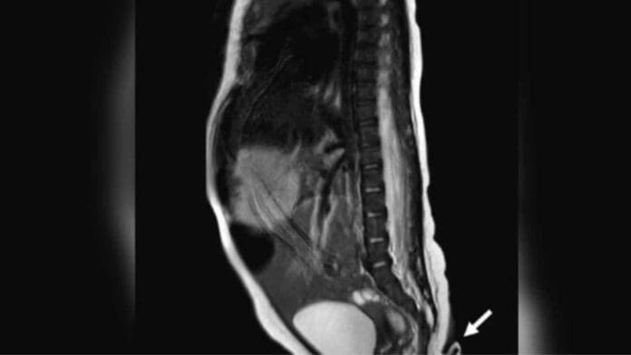
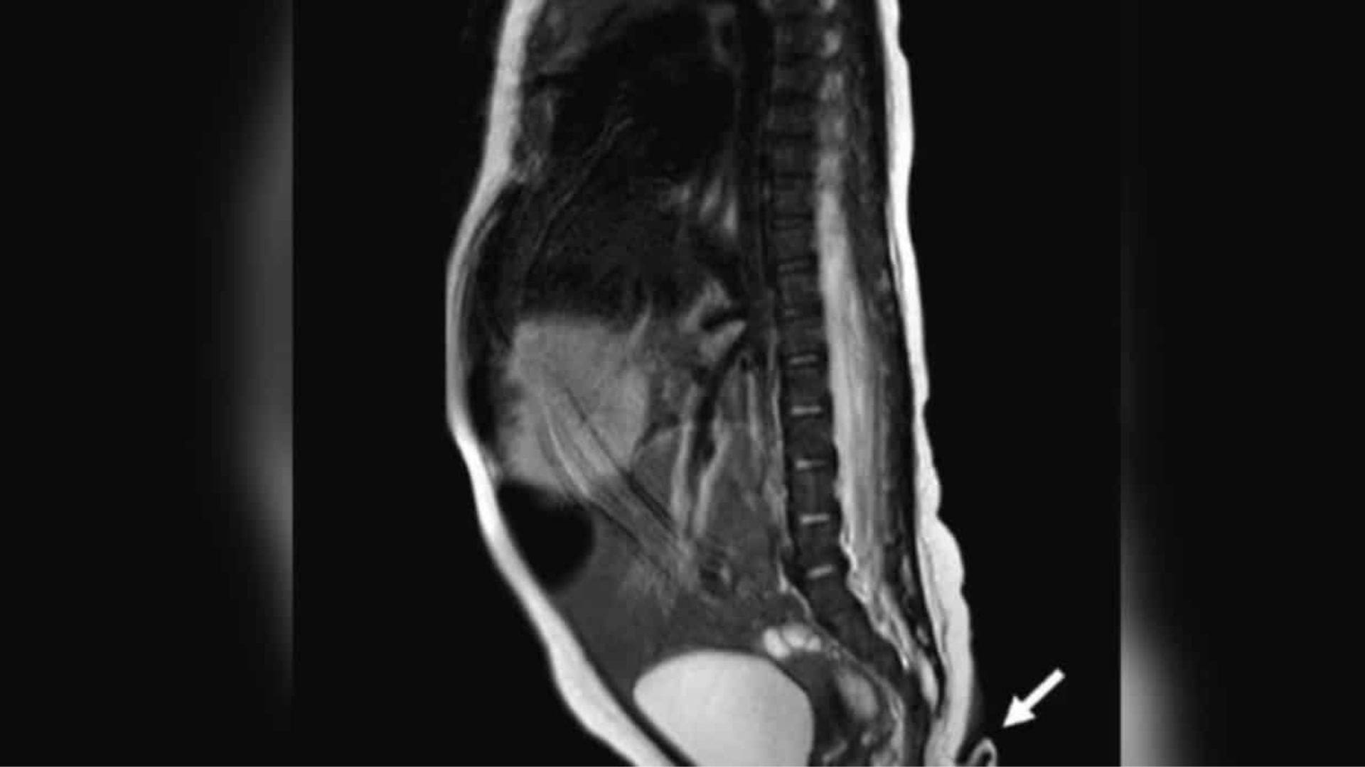
Sin embargo, hay ocasiones en los que la llegada de un bebé están llenas de misterios que ni la ciencia puede explicar, como fue el caso de un pequeño que nació en el estado de Nuevo León con una cola de más de cinco centímetros.
Se trata de un sorprendente caso, que es el primero en México y el número 200 en todo el mundo.

El crecimiento de esta extremidad en la parte baja de la espalda mide exactamente 5.7 centímetros y se trata del segundo hijo de la pareja, los cuales están sanos y no cuentan con ningún antecedente de este tipo de malformaciones.
Cabe destacar que este caso se hizo viral al nivel mundial y lo detalló el Journal of Pediatric Surgery Case Reports a través de un informe médico dirigido por el Dr. Josué Rueda, quien examinó la cola para analizar posibles causas.
Tal vez te gustaría leer: VIDEO: Fanáticos de Argentina y México pelean en el estadio tras partido en Qatar 2022
De acuerdo a testimonios, la cola sobresale del coxis del pequeño y la punta es más estrecha que la base, en este sentido, los médicos pincharon al bebé para verificar si tenía movimiento, pero no fue así por lo que el bebé solo lloró tras el pinchazo.
Cabe destacar que tras cumplir dos meses, la cola creció tres pulgadas, por lo que tuvieron que extirparla en una operación sencilla y post extirpación notaron que estaba compuesta de tejido blando, venas y arterias.
Con información de Plumas Atómicas
¿Qué te pareció?


