
Adolescente se inyecta mercurio y se deja morder por arañas para obtener "superpoderes"
Un adolescente puso en peligro su vida al inyectarse mercurio y dejar que arañas lo picaran. Su intención, convertirse en un superhéroe.
Un adolescente puso en peligro su vida al inyectarse mercurio y dejar que arañas lo picaran. Su intención, convertirse en un superhéroe de Marvel.
El adolescente de Estados Unidos, cometió una terrible imprudencia al inyectarse mercurio, pues deseaba convertirse en un superhéroe de Marvel.
A sus apenas 15 años, este adolescente puso en grave peligro su vida, pues cometió la imprudencia de inyectarse mercurio en el brazo para “convertirse” en superhéroe.
El caso se dio a conocer luego de que el informe médico fuera publicado por el Centro Nacional para la Información Biotecnológica de Estados Unidos.
Por su puesto, rápidamente llamó la atención de los cibernautas.
Adolescente se inyecta mercurio para convertirse en superhéroe de X-Men
Resulta que el joven pretendía emular al personaje Pietro Maximoff de la saga de X-Men, quien también es conocido como “Quicksilver” y fue creado por Stan Lee y Jack Kirby.
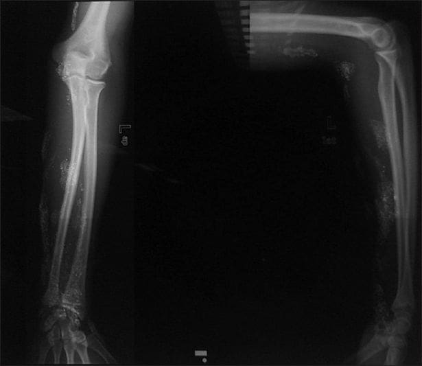
Y es que, en su afán de ser superhéroe de Marvel, este adolescente sacó mercurio de un termómetro casero y con una jeringa, se lo inyectó en el brazo vía subcutánea.
También te puede interesar: ‘No son mis amigos’, respuesta de niño tras regreso a clases presenciales se hace viral
Como era de esperarse, la piel del joven reaccionó al estar en contacto con la sustancia tóxica para el cuerpo humano. Esto le ocasionó una úlcera que no cicatrizó.
“Se realizó un procedimiento quirúrgico para tratar la úlcera y reducir los niveles de mercurio en sangre y orina," se explicó en el informe.

Aunque se agregó que el paciente no desarrolló signos clínicos de intoxicación crónica:
"Sin embargo, el paciente no desarrolló signos clínicos de intoxicación crónica, lo que demuestra que la inyección subcutánea de mercurio tiene un riesgo bajo de toxicidad sistémica”, se explicó en el informe.
El muchacho ya había intentado “convertirse” en Spider-Man
Por si era fuera poco, el caso llamó la atención de los médicos porque no es la primera vez.
Y es que el adolescente no deja de trata de “convertirse” en un superhéroe de Marvel. En el pasado se dejó picar por una araña para volverse Spider-Man.
También te puede interesar: Artesanos yucatecos bordan guayaberas de superhéroes de Marvel
Por lo que, ante la reincidencia del adolescente, los médicos emitieron un informe sobre su estado psicológico. El cual resultó favorable y sin ningún tipo de anomalía extraña.
Finalmente, cabe destacar que el muchacho tiene un coeficiente intelectual normal. Por lo que, médicos, no se explican por qué cometió la imprudencia de inyectarse mercurio en el brazo y dejar que arañas lo picaran.
¿Tú qué piensas?
¡Ya estamos en Google News! Mantente al día con las noticias más importantes de México y el Mundo, haz clic aquí.
¿Qué te pareció?


